Straightening smiles, your way.

At Gibside Dental, we know that a confident smile can make all the difference. Invisalign® offers a discreet, flexible way to straighten teeth without the wires and brackets of traditional braces. Using a series of clear, custom-made aligners, we can gently move your teeth into a more balanced position—designed around your lifestyle as well as your smile.

Invisalign

Invisalign®

  • Clear, virtually invisible
  • Smooth and comfortable
  • Removable & easy to clean
  • Eat anything you want
Invisalign

Traditional Braces

  • Wires and brackets
  • Can decorate with colours
  • Colours can be changed at every visit
  • Non removable
VS

What is Invisalign®?

Invisalign® uses a series of removable, nearly invisible aligners that gradually shift your teeth into place. Each set is worn for around one to two weeks before moving on to the next, making treatment simple, comfortable and convenient.

Because the aligners are clear and removable, you can:

  • Eat and drink without restrictions.
  • Brush and floss normally.
  • Feel confident in social or professional settings.

Teeth straightening – reimagined

Traditional braces remain a great option in some cases—but many patients prefer Invisalign® because it fits more easily into everyday life.

Some of the reasons include:

  • Discreet: The aligners are almost invisible, so most people won’t notice you’re wearing them.
  • Comfortable: No metal brackets or wires means fewer mouth irritations.
  • Removable: You can take them out for meals, special occasions, or when brushing your teeth.
  • Predictable: Digital scans show you what your end result could look like before you even begin.
  • Flexible: Invisalign® suits adults and teens who want straighter teeth without the “train track” look.

Personalised treatment with Sam

Your Invisalign® journey at Gibside is guided by Dr Sam Row, who has completed extensive post-graduate training in Invisalign® and other advanced areas of dentistry.

Patients value Sam not only for his clinical professionalism, but for his approachable nature, attention to detail and genuine care for their well-being. He takes time to listen to your concerns and goals, creating a treatment plan that feels personal to you.

A graduate of Newcastle Dental School in 2018, Sam earned a distinction in clinical dentistry—an achievement that reflects both academic excellence and hands-on skill. His commitment to staying at the forefront of modern dentistry ensures you’re in safe, experienced hands.

Book a free consultation top right white salt scrub plain arrow top right white dark green plain arrow

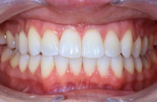
Smile gallery

Smile gallery

Comparison with Invisalign® vs other treatments

Other clear aligners

Traditional Braces

Made from SmartTrack material

check

In-person consultations with real dentists

check
check

Easily removable for eating, drinking & flossing*

check
check

Made from SmartTrack material

check

In-person consultations with real dentists

check

Easily removable for eating, drinking & flossing*

check

No emergency visits for broken wires

check

Virtually invisible

check

Each aligner is trimmed to your gum line for optimal comfort and appearance**

check

Blue compliance indicator dots to help you stay on track

check

Covered by many orthodontic insurance plans

check

Easily removable for eating, drinking & flossing*

check

No emergency visits for broken wires

check

Virtually invisible

check

Covered by many orthodontic insurance plans

check

In-person consultations with real dentists

check

Each aligner is trimmed to your gum line for optimal comfort and appearance**

check

Covered by many orthodontic insurance plans

check
Book a free consultation top right white salt scrub plain arrow top right white dark green plain arrow

Invisalign® Silver Provider

Providers Logo

Six reasons why you should choose us for your Invisalign® treatment

reasons icon

Award-winning customer service

reasons icon

Free initial consultation

reasons icon

Teeth whitening worth £500, included for free

reasons icon

£500 worth of removable retainers, included for free

reasons icon

Beautiful teeth in as little as three months, using safe cosmetic braces

reasons icon

Why wait? Interest free finance available

Book a free consultation top right white salt scrub plain arrow top right white dark green plain arrow

What can Invisalign® fix?

Crowded teeth

Crowded teeth is a condition where you do not have enough room for your teeth to fit normally. This can cause plaque or tartar and other harmful bacteria to build up as it is harder for you to brush and floss well.

Gaps between teeth

Gaps between teeth is when there is extra space between two or more of your teeth. This can cause pockets between your teeth and gums and can cause food to get stuck making them tender and sore. This might also lead to gum disease.

Open bite

An Open bite is when your upper and lower teeth don't touch when you close your mouth. An open bite can make it hard for you to chew or difficult to bite even the most common of food like apples.

Underbite

An underbite is when you close your mouth and your lower front teeth are in front of your upper teeth. In many cases, this is actually a problem with your lower jaw being too far forward. An underbite can make it hard to chew properly and speak clearly, and it might cause your teeth to wear down more quickly.

Overbite

An overbite is when your upper front teeth overlap with your lower front teeth. Most people have at least a little overbite. When your overbite is too large, your doctor might tell you you have a deep bite. This can cause problems, from your teeth wearing down to pain in your jaw.

Crossbite

A crossbite is when you close your mouth and yet some of your upper teeth are sitting inside your lower teeth rather than on the outside. A crossbite can make your teeth wear down or chip. It can also make your gums start to recede or make little notches above your gum line. This kind of damage can lead to painful gum problems or even bone loss.

Book a free consultation top right white salt scrub plain arrow top right white dark green plain arrow

Cost of Invisalign® Clear Braces

Invisalign®

from £ 1700
  • Free initial consultation worth £95
  • Free whitening worth £375
  • Free retainers worth £495
  • Interest-free finance available
Book Now

Invisalign®Go

from £ 3500
  • Free initial consultation worth £95
  • Free whitening worth £375
  • Free retainers worth £495
  • Interest-free finance available
Book Now

Invisalign®Express

from £ 1700
  • Free initial consultation worth £95
  • Free whitening worth £375
  • Free retainers worth £495
  • Interest-free finance available
Book Now

Invisalign®Lite

from £ 2450
  • Free initial consultation worth £95
  • Free whitening worth £375
  • Free retainers worth £495
  • Interest-free finance available
Book Now

Invisalign®Comprehensive

from £ 4700
  • Free initial consultation worth £95
  • Free whitening worth £375
  • Free retainers worth £495
  • Interest-free finance available
Book Now

Affordable Invisalign® treatment

Many people worry about the cost of Invisalign® braces, and so we have devised a number of payment plans to help you afford the right treatment with Invisalign®. Invisalign® braces from £2.50 per day with our finance options.

Learn More

Virtual 3D scan

We can create a 3D image of your teeth in just minutes using a TRIOS 3d scanner, a leading digital scanner from the makers of Invisalign® clear aligners.

scan thumb
itero logo

FAQs

1. What is the treatment process?

Invisalign® treatment starts with a consultation with an Invisalign®-trained dentist. Your dentist will evaluate your smile and then map out a precise, customised digital treatment plan that showcases the step-by-step transformation of your smile. Once you approve your plan, your unique aligners will be created.

You will wear each set of aligners for 20 to 22 hours a day, changing to a new set of aligners every 1 to 2 weeks, as directed by your doctor. Each set of aligners will gently and gradually shift your teeth into place, according to your treatment plan, until you reach your beautiful new smile.

2. What is Invisalign® treatment?

What are Invisalign® clear aligners made of, and what do they look like?

Invisalign® clear aligners are made of flexible plastic — specifically, a patented thermoplastic material called SmartTrack created exclusively for Invisalign® treatment.

How will Invisalign® treatment straighten my teeth?

Your Invisalign® dentist will create a unique, digital treatment plan that maps out the exact movements of your teeth. Based on this plan, your Invisalign® clear aligners are designed to apply the right amount of force to the right place at the right time. Your Invisalign® dentist will be with you every step of the way to monitor your progress and ensure your aligners fit correctly.

What are the primary benefits of Invisalign® treatment?

Invisalign® clear aligners are virtually invisible, so people may not even notice you’re wearing them. You can remove them to eat and drink, brush and floss, or for special occasions. No metal brackets or wires could irritate your mouth or break.

Unlike other brands, Invisalign® clear aligners are made from patented SmartTrack material, which is more comfortable and provides a better fit. Invisalign® aligners are also trimmed based on your gum line for comfort and appearance. As the world’s most advanced clear aligner system, we have successfully improved over 8 million smiles, including 1.4 million teen smiles.

Am I guaranteed to have straight teeth with Invisalign® treatment?

Every smile is unique,  so your Invisalign® treatment starts with a consultation. During your consultation, your Invisalign® dentist will help you determine what Invisalign® treatment could do for your smile. We cannot guarantee a particular treatment outcome, but we encourage you to share your treatment goals with your Invisalign® dentist at your consultation.

3. Will Invisalign® work for me?

Invisalign® can correct many cases of crowding, spacing and mild-to-moderate bite issues. We’ll assess your smile and let you know what’s possible.

  • Step 1: Consultation
    We’ll use 3D digital scanning to capture your smile and show you a preview of what Invisalign® could achieve.
  • Step 2: Custom aligners
    A series of aligners is created for you, each one designed to make small, precise adjustments.
  • Step 3: Wearing your aligners
    You’ll wear your aligners for 20–22 hours a day, changing to a new set every couple of weeks.
  • Step 4: Review and results
    We’ll see you regularly to check progress, with most treatments taking between 6–18 months, depending on complexity.

How often will I change my Invisalign® aligners?

Your dentist will tell you how often you should change to new Invisalign® aligners (this can vary based on your individual treatment plan). Many dentists recommend changing Invisalign® clear aligners weekly or every other week.

4. How is Invisalign® treatment different from other teeth-straightening options?

Invisalign® treatment is the most advanced clear aligner system in the world, backed by more than two decades of innovation.

Unlike braces, Invisalign® clear aligners are removable and virtually invisible. There are no wires and brackets, so you don’t need to change the way you brush and floss. And you can continue to eat all your favourite foods.

And no other clear aligner is made from SmartTrack material. This advanced technology helps move your teeth more predictably and can help you get the smile you want up to 50% faster. Learn more about the Invisalign® difference or view our treatment comparison chart.

 

5. What if I've had braces or other types of dental work?

I am currently wearing braces. Can I switch to Invisalign® treatment?

Possibly. Invisalign® dentists treat a significant number of patients with a combination of braces and Invisalign® clear aligners. Consult your dentist to determine the best treatment approach for your smile.

Since having my braces removed, my teeth have shifted. Can Invisalign® treatment fix this?

Yes, Invisalign® clear aligners can treat nearly all common teeth-straightening issues, from simple to complex. Many people who formerly had braces choose Invisalign® treatment as the discreet solution to improve their smile when they find that their teeth have shifted back.

I have veneers or crowns. Will Invisalign® clear aligners work with them?

It depends. Talk with your Invisalign® dentist about the dental work you’ve had done, including veneers and crowns, and he or she will evaluate your individual needs.

I have bridgework on several teeth. Will Invisalign® clear aligners still work?

Invisalign® clear aligners are designed to move each tooth individually. Because bridgework connects two or more teeth, clear aligners may not be effective.

6. How will Invisalign® treatment affect my life?

Can I take my aligners off whenever I need to?

Yes, you can remove your Invisalign® aligners for eating, drinking, brushing, and flossing. You can take them off for special occasions, such as a wedding, a job interview, or to play your favourite sport or instrument. Just remember to wear them 20 to 22 hours a day to get the best results.

Are there any restrictions on what I can eat while in treatment?

None! Invisalign® clear aligners are removable, so there are no food restrictions at all (hello popcorn!). With traditional wires and brackets, there’s a long list of foods you unfortunately can’t enjoy, as they can damage or get stuck in your braces.

Is Invisalign® treatment painful?

Invisalign® treatment moves your teeth by applying gentle, constant force, but some people do feel temporary discomfort for the first few days of wearing a new set of aligners. Typically, people describe it as feeling “pressure”, and it’s normal — it’s a sign your Invisalign® clear aligners are working and transforming your smile.

Please see your Invisalign® dentist if you have any concerns or experience continued discomfort.

Sometimes, when I remove my aligners, my teeth feel loose. Is that common?

Yes. As your Invisalign® aligners gradually shift your teeth into their proper position, your gums are re-forming around each tooth as it moves. Be sure to talk to your dentist about any concerns.

Will Invisalign® treatment still work if I only wear my aligners while I sleep?

You need to wear your Invisalign® aligners 20 to 22 hours a day to get the results you want.

Will wearing Invisalign® clear aligners affect my speech?

It may take a couple of days for your tongue to get used to having your Invisalign® aligners in your mouth, and you may have a slight lisp. But this should disappear quickly.

Will smoking stain my aligners?

We discourage smoking while wearing Invisalign® aligners because it can stain them.

Can I chew gum while wearing aligners?

No, gum will stick to your Invisalign® aligners. We recommend removing your aligners for all meals and snacks, including gum.

Can the aligners slip off while I’m asleep?

It is highly unlikely that your aligners will ever fall out, regardless of what you are doing, such as sleeping, talking, or laughing. Invisalign® clear aligners are designed to fit snugly around your teeth, so this should not be a cause for concern.

I went on a trip and forgot to take my aligners with me. Will my aligners still fit?

The answer depends on how long you’ve gone without wearing your Invisalign® aligners. If it’s only been a short time, your aligners should still fit, but they might feel uncomfortable. If it’s been a long time, talk to your Invisalign® Doctor about your unique situation.

7. How do I take care of my aligners?

What’s the best way to clean my aligners?

The best way to clean your aligners is by brushing and rinsing them in lukewarm water and using the Invisalign® Cleaning Crystals or special cleaning tablets. It’s important that you brush your teeth after each meal before re-inserting your aligners to maintain good oral hygiene.

If I have food residue, such as blueberries or pasta sauce, in my mouth when I put my aligners back in, can they become stained?

Yes. That’s why it’s important to brush after every meal before placing your Invisalign® aligners back in your mouth.

What if I lose or break an aligner? What should I do?

If you lose or break an Invisalign® aligner, immediately let your dentist know. Your dentist will work with you to ensure you stay on track with your treatment plan, which may involve wearing a previous set of aligners, your next set of aligners, or ordering replacement aligners.

Can I order replacement aligners from the Invisalign® brand directly?

All aligners and retainers must be ordered through your Invisalign® dentist, as they are considered a prescription item. Please contact your dentist directly if you need to order a replacement.

8. What happens when I'm done with Invisalign® treatment?

Will I need to wear a retainer after treatment to prevent my teeth from moving again?

Most Invisalign® dentists recommend that anyone who has completed orthodontic treatment, whether with braces or Invisalign® treatment, use a retainer to prevent teeth from gradually shifting back toward their initial position. Every case is different, so ask your Invisalign® dentist if you need retainers.

What type of retainer should I use?

While there are many different types of retainers, we recommend Vivera retainers. Vivera retainers were specifically designed for use after the Invisalign® treatment and are made from a proprietary material 30% stronger than other leading clear retainer materials, which helps you to keep your new smile.

Your Vivera retainers will be virtually invisible and custom-made from an impression or scan of your teeth, using the same start-of-the-art technology used for Invisalign® clear aligners.

How much do Vivera retainers cost?

Contact your dentist for more information on Vivera retainers, as pricing can be based on your individual needs. All Vivera retainer orders will include an extra set in case you lose one.

How do I order Vivera retainers?

You can order Vivera retainers through your Invisalign® dentist.

How long will I have to wear my Vivera retainers?

Your dentist will give you specific instructions on how often you need to wear your retainers. Typically, you wear your first set full time, then based on your dentist’s recommendation, you may gradually reduce how much you wear them until you only wear them at night.

Lost your Vivera retainer? No problem.

If you lose or break your last set of Vivera retainers or simply run out, just get in touch with your Invisalign® dentist. They can work with you on purchasing a new set of Vivera retainers so you can keep showing off that smile!

Book a free Consultation top right white salt scrub plain arrow top right white dark green plain arrow

Testimonials

Google Review
S
star

Steven M verified

I’ve been going to Gibside Dental for just over a year now and can honestly say it’s the best dental experience I’ve had. I’ve been going to Gibside Dental for just over a year now...

Read more

K
star

Kirsty B verified

The team are so welcoming and friendly. I was a little worried about dentist visits due to past experiences. However, Sam and Harriet are just fantastic! They put you at ease and chat to you...

Read more

M
star

Marylii verified

Needed an emergency appointment for braces, and this was the only place nearest Durham that took me in. Had to wait until Monday for an appointment, but they were so accommodating and got a hygienist...

Read more

D
star

Dien E verified

Couldn’t be happier. Extremely professional, while still warm and caring at the same time. They actually listen, take the time to explain things and go through everything thoroughly, not try to get your money and...

Read more

L
star

Louise C verified

Had my first visit today for a full MOT (with a follow-up hygiene appointment in a few days), it was wonderful to be greeted by Sally it was so welcoming, I was quickly seen by...

Read more

A
star

Anne W verified

I hadn’t been to a dentist for 7 years due to fear. Gibside Dental go above and beyond to put me at ease.

Read more

Google Review
S
star

Steven M verified

I’ve been going to Gibside Dental for just over a year now and can honestly say it’s the best...

Read more

K
star

Kirsty B verified

The team are so welcoming and friendly. I was a little worried about dentist visits due to past experiences....

Read more

M
star

Marylii verified

Needed an emergency appointment for braces, and this was the only place nearest Durham that took me in. Had...

Read more

D
star

Dien E verified

Couldn’t be happier. Extremely professional, while still warm and caring at the same time. They...

Read more

L
star

Louise C verified

Had my first visit today for a full MOT (with a follow-up hygiene appointment in a few days), it...

Read more

Google Review
S
star

Steven M verified

I’ve been going to Gibside Dental for just over a year now and can honestly say it’s the best dental experience I’ve had. I’ve...

Read more

K
star

Kirsty B verified

The team are so welcoming and friendly. I was a little worried about dentist visits due to past experiences. However, Sam and Harriet are...

Read more

M
star

Marylii verified

Needed an emergency appointment for braces, and this was the only place nearest Durham that took me in. Had to wait until Monday for...

Read more

D
star

Dien E verified

Couldn’t be happier. Extremely professional, while still warm and caring at the same time. They actually listen, take the time to explain things and...

Read more

L
star

Louise C verified

Had my first visit today for a full MOT (with a follow-up hygiene appointment in a few days), it was wonderful to be greeted...

Read more

View All Testimonials

Get in touch

Contact us

Opening Hours

Monday
8:00 - 20:00
Tuesday
8:00 - 20:00
Wednesday
8:00 - 20:00
Thursday
8:00 - 20:00
Friday
8:00 - 17:00
Saturday
8:00 - 13:00
Sunday
By appointment only
logo left bottom calc sinter plain shape

Follow us!

Stay connected with us for the latest updates and smiles - follow Gibside Dental on our social media platforms!

Instagram top right white salt scrub plain arrow top right white dark green plain arrow

Our partners

Google Rating
5.0
Google Rating
Google-review