Join our patients who feel more confident about smiling

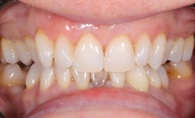
At Gibside Dental, our patients are at the heart of everything we do. This page is dedicated to sharing real experiences, real transformations, and the journeys of the people who trust us with their smiles. From life-changing implant treatments to confidence-boosting cosmetic enhancements, you’ll find honest testimonials, before-and-after photos, and stories that reflect the care, skill and compassion our team brings to every appointment.

We’re proud of the relationships we build and the results we achieve — but it’s our patients’ words that truly reflect what makes Gibside Dental special. Whether you’re considering treatment or simply getting to know us, we hope these stories give you confidence, reassurance and a sense of what’s possible.

Your smile could be our next success story.

Testimonials

Google Review
S
star

Steven M verified

I’ve been going to Gibside Dental for just over a year now and can honestly say it’s the best dental experience I’ve had. I’ve been going to Gibside Dental for just over a year now...

Read more

K
star

Kirsty B verified

The team are so welcoming and friendly. I was a little worried about dentist visits due to past experiences. However, Sam and Harriet are just fantastic! They put you at ease and chat to you...

Read more

M
star

Marylii verified

Needed an emergency appointment for braces, and this was the only place nearest Durham that took me in. Had to wait until Monday for an appointment, but they were so accommodating and got a hygienist...

Read more

D
star

Dien E verified

Couldn’t be happier. Extremely professional, while still warm and caring at the same time. They actually listen, take the time to explain things and go through everything thoroughly, not try to get your money and...

Read more

L
star

Louise C verified

Had my first visit today for a full MOT (with a follow-up hygiene appointment in a few days), it was wonderful to be greeted by Sally it was so welcoming, I was quickly seen by...

Read more

A
star

Anne W verified

I hadn’t been to a dentist for 7 years due to fear. Gibside Dental go above and beyond to put me at ease.

Read more

Google Review
S
star

Steven M verified

I’ve been going to Gibside Dental for just over a year now and can honestly say it’s the best...

Read more

K
star

Kirsty B verified

The team are so welcoming and friendly. I was a little worried about dentist visits due to past experiences....

Read more

M
star

Marylii verified

Needed an emergency appointment for braces, and this was the only place nearest Durham that took me in. Had...

Read more

D
star

Dien E verified

Couldn’t be happier. Extremely professional, while still warm and caring at the same time. They...

Read more

L
star

Louise C verified

Had my first visit today for a full MOT (with a follow-up hygiene appointment in a few days), it...

Read more

Google Review
S
star

Steven M verified

I’ve been going to Gibside Dental for just over a year now and can honestly say it’s the best dental experience I’ve had. I’ve...

Read more

K
star

Kirsty B verified

The team are so welcoming and friendly. I was a little worried about dentist visits due to past experiences. However, Sam and Harriet are...

Read more

M
star

Marylii verified

Needed an emergency appointment for braces, and this was the only place nearest Durham that took me in. Had to wait until Monday for...

Read more

D
star

Dien E verified

Couldn’t be happier. Extremely professional, while still warm and caring at the same time. They actually listen, take the time to explain things and...

Read more

L
star

Louise C verified

Had my first visit today for a full MOT (with a follow-up hygiene appointment in a few days), it was wonderful to be greeted...

Read more

View All Testimonials

Get in touch

Contact us

Opening Hours

Monday
8:00 - 20:00
Tuesday
8:00 - 20:00
Wednesday
8:00 - 20:00
Thursday
8:00 - 20:00
Friday
8:00 - 17:00
Saturday
8:00 - 13:00
Sunday
By appointment only
logo left bottom calc sinter plain shape

Follow us!

Stay connected with us for the latest updates and smiles - follow Gibside Dental on our social media platforms!

Instagram top right white salt scrub plain arrow top right white dark green plain arrow

Our partners

Google Rating
5.0
Google Rating
Google-review